My case
I’m a 35 year old male (born February 1991).
Like many expansion patients, I had four healthy premolars extracted in childhood, in my case in order to make room for wisdom teeth.
Main symptoms
sleep disordered breathing
constant psoas tension (see psoas:Releasing the Psoas by Neil Hallinan)
tinnitus
infrequent episodes of vertigo, or feeling like I’m on a ship that’s just rolled in heavy seas
forward head posture
tooth damage from grinding and traumatic occlusion
TMJ disorder
back, neck & shoulder tension
all the usual aesthetic issues: weak jawline; protruding nose; facial asymmetry; large buccal corridors; long and narrow face; dark circles under eyes; puffy-looking jowels
Face Focused Assessment
Chief Complaints
Bite, TMJ issues, appearance of jaw
Signs & Symptoms
- Hx. of smoking (quit at 17)
- extraction of U/L 4’s
- snoring
- TMJ popping/discomfort
- ringing in ears
- daytime fatigue
- grinding during the day
- bite feels off/uncomfortable
Clinical Exam Conditions
- Head Posture: Forward Head Posture
- Facial Features: Allergic Eye Shiners, Excessive Buccal Corridors
- Vertical Upper Jaw Position: Mild Vertical Maxillary Excess
- TMJ Pain (R/L): Mild
- Masseter Pain (R/L): Moderate
- Anterior Temporalis Pain (R/L): None
- Posterior Digastric Pain: None
- SCM Pain: None
- Trapezius Pain: Moderate
- Maximum Opening: > 50 mm (55)
- TMJ Dysfunction: No Clicking/Popping
- Deviation/Deflection: No Deviation/Deflection on Opening
- Indicator Line: 42 mm
- Intermolar Width: 31 mm
- Mallampati: Class IV
- Tonsils: Grade 1
- Tori: None
- Exostosis : Mild
- Tongue Posture: Low rest posture
- Tongue Features: Scalloping
- TRMR - TIP: Grade 3 - < 50%
- LPS Overflow: Grade 4 - >50%
- Upper Arch Alignment: WNL
- Lower Arch Alignment: Mild Crowding
- Overjet: Mild
- Overbite: Moderate Dental Deep Bite
- Relative AP Molar Relationship: Class II Molars
- Transverse Dental Relationship: Edge to Edge Bite R to L
- Missing Teeth: Missing U&L 4’s
- Other Problems: Still has wisdom teeth, LR8 mesially inclined
- Airway MCA: 153.6mm2 (at risk for OSA less than 150mm2)
Portraits & 3D scan of arches

CBCT - airway

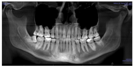
Panoramic x-ray

Assessment
- Sleep Disordered Breathing
- TMJ Dysfunction
- Ankyloglossia
- Hypotrophy - Maxilla
- Hypotrophy - Mandible
Treatment Recommendations
- Refer for Surgery Consult
- Refer for General Dentist Visit [root canal for discolored lower incisor]
- Comprehensive Orthodontic/Surgical Treatment
Treatment Timeline
FF = Face Focused; BI = The Breathe Institute.
| Date | Trip | Provider | Description |
|---|---|---|---|
| 22 Jun '23 | 1 | FF | initial assessment |
| 22 Jun '23 | 1 | BI | initial assessment |
| 18 Sep '23 | 2 | FF | place MARPE, install lower expander |
| 19 Sep '23 | 2 | BI | MIND, install MARPE |
| 25 Sep '23 | 2 | FF | follow-up, first turn of MARPE (upper) and lower expander |
| 26 Sep '23 | 2 | BI | follow-up |
| 9 Jan '24 | - | - | last turn on upper (total 65 turns = 5.42mm expansion) |
| 17 Jan '24 | 3 | FF | follow-up, remove arms from MARPE, impression for upper invisalign, first invisalign tray in, install wire to upright impacted wisdom tooth |
| 6 May '24 | 4 | FF | MARPE and lower expander removal, new shorter wire on third molar |
| 5 Aug '24 | 5 | FF | impressions for upper & lower Invisalign, tried new wire for third molar but it came out |
| 16 Sep '24 | 6 | FF | picking up and installing Invisalign (new anchor placements) |
That’s it for in-person appointments now for at least a year.
Once my teeth are stabilised and in the correct position, I aim to have MMA surgery with Dr Coppelson some time in 2025.